
หมอเตือนภัย EVALI โรคปอดอักเสบรุนแรงจากบุหรี่ไฟฟ้า หลังพบเด็กหญิงวัย 14 ปี ป่วยหนัก ใช้บุหรี่ไฟฟ้าแบบห้อยคอวันละหลายครั้ง
พญ.สุจิตรา เอกตาแสง แพทย์จากโรงพยาบาลเลย เปิดเผยเคสน่าตกใจผ่านเฟซบุ๊กส่วนตัว เมื่อพบผู้ป่วยเด็กหญิงวัย 14 ปี เข้ารักษาตัวด้วยอาการหายใจเหนื่อยหอบ สืบประวัติพบว่าเคยสูบบุหรี่ไฟฟ้ามานานกว่า 1 ปี เริ่มตั้งแต่อายุ 13 โดยใช้แบบห้อยคอ สะดวกหยิบสูบได้ตลอดวัน เฉลี่ยเดือนละหนึ่งแท่ง หรือราว 9,000 สูบต่อเดือน แม้หยุดใช้มาแล้ว 2 เดือนเพราะร้านหยุดขาย แต่อาการปอดอักเสบยังคงรุนแรงจนต้องเข้ารับการรักษา พบเป็นโรค EVALI
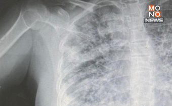
EVALI หรือ E-cigarette or Vaping product use Associated Lung Injury เป็นภาวะปอดอักเสบรุนแรงจากการใช้บุหรี่ไฟฟ้า โดยผู้ป่วยส่วนใหญ่จะมีอาการคล้ายติดเชื้อ ได้แก่ ไข้ ไอ เหนื่อยหนาวสั่น ปวดเมื่อย และมากกว่าร้อยละ 70 มีอาการคลื่นไส้ อาเจียนร่วมด้วย ภาพเอกซเรย์และ CT Scan พบปอดผิดปกติ มีลักษณะเป็นฝ้าขาว ส่งผลให้การหายใจลำบากอย่างรุนแรง
ข้อมูลจากโรงพยาบาลศิริราชปิยมหาราชการุณย์ระบุว่า บุหรี่ไฟฟ้าแม้จะดูทันสมัยและใช้งานง่ายในสายตาวัยรุ่น แต่ความเสี่ยงต่อสุขภาพไม่ต่างจากบุหรี่มวน โดยเฉพาะเมื่อใช้อย่างต่อเนื่องในช่วงวัยเจริญเติบโต อาจเกิดอันตรายถึงชีวิตได้ แพทย์จึงแนะให้สังคมตระหนักและไม่ประมาทกับการใช้บุหรี่ไฟฟ้าในเยาวชน